Synonymes skullvault tumor skullbase tumor en 2 mots ce sont des tumeurs relativement fréquentes, la plupart sont bénignes mais il existe une grande variété et seule la chirurgie permet d'obtenir un diagnostic de certitude diagnostic il existe souvent une notion de traumatisme, et une lésion d'apparition récente peut être prise initialement pour unKyste de rétention Ce type résulte d'un conduit obstrué, qui provoque une accumulation de sécrétions oculaires Cette accumulation crée un kyste Kyste d'inclusion Ce type se produit lorsqu'un morceau de tissu épithélial (couche supérieure) de votre conjonctive se plie dans le tissu conjonctif de votre conjonctive Un kyste dermoïde est un sac fermé près de la surface de la peau qui se forme pendant le développement du bébé dans l'utérus Le kyste peut se former n'importe où dans le corps Il peut contenir des follicules pileux, des tissus cutanés et des glandes qui produisent de la sueur et de l'huile pour la peau

Caracterisation Irm Des Tumeurs Ovariennes Bouaziz K Kraiem
Kyste dermoïde ovarien causes
Kyste dermoïde ovarien causes-• Kyste sébacé • Semblable aux kystes épidermiques • Régions préthoraciques, axillaires, visage, dos, fesses • Contenu compact malodorant • Traitement chirurgical • Kyste dermoïde pilonidal • Derme profond • Près des fentes embryonnaires sourcils, cou, gouttière sacrée, périnée • Contenu épais, remaniements Kystes et cancer du sein, quand s'inquiéter ?




Kystes Ovariens Symptomes Causes Et Traitements Nos Pensees
Un kyste dermoïde Des cellules de peau et/ou de poils, qui ne sont pas à leur place Au lieu d'être dans la peau, elles sont dans l'os WTF? Ensuite ils se sont aperçu qu'il s'agissait d'un kyste dermoide de 10 centimètres sur 15 qui s'était rompu dans mon ventre, mon utérus a été soulevé par la masse liquide de ce kyste et à 2 mois et demi de grossesse on aurait dit que j'étais enceinte de 5 mois J'ai été opérée et mon bébé a survécu à l'opérationKyste oculaire chez le bébé Détails Pédiatre La raison de ma consultation est que nous avons un enfant de deux ans qui a un kyste dermoïde dans la partie externe de l'œil Nous aimerions savoir si ce type de tumeurs peut devenir grave et si elle peut
Les fistules dermiques spinales font courir un risque majeur d'infection méningée, et ce dès les premiers mois de vie la question du risque d'infection n'est pas « si » mais « quand » il faut donc opérer le plus tôt possible le diagnostic n'est pas toujours faciles dans des formes atypiques qui peuvent être prises pour des Et la surprise kyste dermoide sur mon ovaire de 7 cm!!Le kyste dermoïde ovarien une pathologie relativement fréquente Un kyste dermoïde ovarien est une tumeur bénigne située au niveau d'un ovaire, voire des deux ovairesContrairement aux
Si la plupart du temps un kyste dermoïde ovarien ne touche qu'un seul ovaire, il peut dans certains cas, être présent sur les deux ovaires en même temps A la différence des autres kystes ovariens, il apparaît à partir de cellules immatures présentes dans l'ovaire et qui proviennent des ovocytesOn peut donc retrouver dans les kystes dermoïdes des tissus comme des petits Kyste ovarien et grossesse ce qu'il faut savoir Les kystes ovariens sont assez courants chez la femme en âge de procréer Dans la majorité des cas, ils ne posent pas de problèmes majeurs, ni pour tomber enceinte, ni durant la grossesse Lorsqu'ils sont plus gênants, un traitement approprié peut être mis en placeLe kyste est le plus souvent bénin "Le fait qu'il apparaisse et disparaisse doit rassurer la femme, affirme la spécialisteMais une boule dans un sein qui ne partirait pas aux prochaines règles doit amener à consulter", conseilletelle Si un nodule persiste dans le temps toujours au même endroit ou s'il apparait après la ménopause



Une Histoire De Petite Bosse Je Suis Une Maman




Kyste Dermoide De L Ovaire Mare T L E A A J Uti Lr Gt Rcn Iiiattp Fig 70a Kyste Dermoide De L Ovaire Mare Ovarv Fibrose Le Kyste D Etre Rempli De Poils Emmeles Loug Carti
Kyste dermoïde ovarien comment survientil ? Les kystes dermoïdes sont généralement inoffensifs, mais dans certains cas, vous pourriez avoir besoin d'avoir un kyste dermoïde enlevé par chirurgie Les kystes dermoïdes sont congénitales, ce qui signifie que vous êtes né avec euxMa fille a 1 mois et demi et a un kyste sous la langue depuis sa naissance et le spécialiste m'a dit qu'il ne pouvait pas l'opérer car elle est encore très jeune Elle prend uniquement le sein et, apparemment, ça lui fait mal car en saisissant le sein, elle le lâche et le prend à nouveau en pleurant



Imagerie Des Tumeurs Ovariennes Du Benin Au Malin Les Signes D Appel Revue Genesis



Le Dermoide De La Conjonctive Mediris
OK, c'est une lapalissade médicale mais la différence est fondamentale parce que les kystes organiques, impossible de les faire disparaître avec des médicaments, etJ'explique toute mon histoire a la gygy qui me confirme que ma perte de sang durant la grossesse était bien du a mon utérus bicorne et que elle souhaite m opérer pour enlever le kyste etKyste dermoïde définition Le kyste (du grec « kystis » signifiant « sac ») est une petite poche qui se forme au sein de l'organisme, généralement au niveau du derme ou de l'épiderme Les kystes dermoïdes sont des développements de tissus toujours bénins, souvent congénitaux caractérisés par la présence de follicules pileux ;



Kyste Dermoide Ovarien



1
BienÊtre Forums Beauté Beauté Causes des kystes chez les enfants Les kystes, y compris les kystes chez les enfants sont formés de différentes façons Si la cavité pathologique est apparue en raison du chevauchement du conduit de n'importe quelle glande ou de la perturbation de la circulation du liquide interstitiel, alors c'est le kyste de rétentionLe kyste épidermoïde est une tumeur bénigne rare au niveau de la voûte et qui peut intéresser tous les os du crâne Tous les âges peuvent être concernés, voire même des cas découverts en période prénatale Dans ces observations nous illustrons 03 cas pédiatriques de kystes épidermoides développés au niveau du crâne



Kyste Dermoide Ovarien




Masses Ovariennes Decouvertes A L Echographie Du 1er Trimestre Gynecologie Obstetrique Pratique
KYSTE DE LA QUEUE DU SOURCIL Les kystes de la queue du sourcil se présentent comme une voussure (bosse) plus ou moins prononcée et située le plus souvent à l'extrémité externe d'un sourcil Ils peuvent être situés à la hauteur de la queue du sourcil mais parfois on les palpe un peu plus bas ou un peu plus hautUn kyste sébacé est une poche remplie de sébum localisée au niveau de la peau Un kyste sébacé infecté nécessite une prise en charge médicale Kyste dermoïde Mis à jour le Définition du terme Kyste dermoïde Cavité pathologique contenant du sébum (matière grasse) ou de la sueur et dont la paroi a une structure qui ressemble à celle de la peau Ils se forment principalement au niveau de



1




Mon Bebe Pissenlit Un Kyste Dermoide
* Les kystes fonctionnels Ce type de kyste est le type le plus commun de kyste de l'ovaire, qui se forme habituellement au cours d'un cycle menstruel normal Le kyste fonctionnel ne cause pas ou ne contribue pas à l'infertilité En fait, vous n'auriez pas ce type de kystes si votre corps n'a pas été capable d'avoir un enfantKYSTE DERMOIDE EXTRACRANIEN CONGENITAL DE L'ENFANT – A PROPOS DE 5 CAS CONGENITAL EXTRACRANIAL DERMOID CYST IN CHILDREN ABOUT 5 CASES NDOYE Ndaraw 1 BADIANE Seydou Boubakar 1 BA Momar Code 1 SAKHO Youssoupha 1 DIENE Mam Sally 1 ERRAMI Abdelhafed 1 GUEYE Mamadou 1 Kyste dermoide bebe Meilleures réponses Boule sur le crane de mon bébé Forum Bébés Kyste dans la tête Forum Maladies neurologiques




Kystes Et Pseudokystes Cutanes Hoogstra Centros Medicos



Imagerie Des Tumeurs Ovariennes Du Benin Au Malin Les Signes D Appel Revue Genesis
Bonjour, je cherche des réponse a mes questions concernant les kystes ovariens, déjà j'avais des retard de règle de 6 mois, je suis parti chez le gigi ma dit que j'ai deux kystes a l'ovaire gauche, un il mesure 28 mm et le deuxième 31 mm, il ma prescrit diane35, depuis que j'ai su que j'ai ces deux kystes j'ai très peur de ne pas pouvoir avoir des enfants, alors mes questions sont Articles traitant de kyste_dermoïde écrits par mamgyneco LES KYSTES ORGANIQUES Un kyste organique, c'est tout ce qu'on peut trouver comme boule sur l'ovaire autre qu'un kyste fonctionnel ! L'échographie médullaire est un examen simple, disponible, peu couteux et facile à réaliser chez le nouveauné et le nourrisson de moins de 4 mois, idéalement au cours du premier mois de vie Elle permet le dépistage des anomalies médullaires congénitales et en particulier des dysraphismes occultes L'échographie médullaire est




Petit Kyste Dermoide Benin De L Ovaire Droit




Kyste Dermoide Ovarien Et Infertilite Feminine Primaire Analyse De 3 Observations Radiologiques Ovarian Dermoid Cyst And Primary Infertility Analsis Of 3 Radiographic Findings Semantic Scholar
Pas endessous de l'os, non, DANS l'os Dans la couche d'os qui recouvre le cerveau de mon bébé Et comme des cellules de peau, ça se desquame, alors ça grossit, à perpétuitéLe traitement de ces kystes est l'exérèse chirurgicale Il peut s'agir également d'un lymphangiome kystique, masse souvent plus volumineuse, moins bien circonscrite, d'évolution parfois fluctuante L'échographie montre le caractère liquidien, polylobé, l'absence deLe diagnostic échographique d'un kyste ovarien permet de différencier un kyste fonctionnel d'un blastome Une analyse précise peut éviter une intervention inutile ou




Le Kyste Dermoide Chez Les Enfants Etre Parents




Kyste Dermoide De La Region Submandibulaire Etendu A La Region Cervicale Sciencedirect
Les kystes dermoïdes sont fréquents chez les femmes âgées de moins de 45 ans Ils sont très rares avant la puberté Ils sont souvent détectés vers l'âge de 30 ans Il s'agit d'une catégorie particulière de kystes organiques de l'ovaire et sont pratiquement toujours béninsKyste du cerveau chez les enfants est diagnostiqué plus souvent Les spécialistes disent qu'à notre époque environ 40% des nouveaunés naissent avec cette pathologie C'est une formation creuse remplie de liquide Un tel kyste chez un enfant remplace la partie décédée du cerveau Il est intéressant que souvent une personne vive toute Traitement alternatif des kystes ovariens avec de l'argile bleue Chaque soir, diluez l'argile dans de l'eau tiède et appliquez une compresse sur le bas de l'abdomen, et un tampon d'argile dans le vagin La durée du traitement est de 1,5 à 2 mois Les kystes ovariens ont tendance à se développer lentement




Le Kyste De L Ovaire Gyn Co




J Ai Un Kyste Dermoide Ovarien Est Ce Grave Magicmaman Com
Qu'estce qu'un kyste dermoïde ovarien ?Il s'agit d'un kyste ovarien bénin de 5 à 10 centimètres de diamètre en moyenne, situé au niveau d'un ovaire et qui se manifeste chez la femme adulte Extrêmement rares avant la puberté, ils sont classés dans la catégorie des kystes organiques de l'ovaire et représentent jusqu'à 25% des kystesSearch the world's information, including webpages, images, videos and more Google has many special features to help you find exactly what you're looking for Dermoïde kyste Ovaire et la grossesse ne peuvent pas interférer entre eux si le néoplasme est pas augmentée, aucun abcès et les complications ne se présentent pas sous la forme de kystes jambes torsion




Kyste Symptomes Cause Et Comment Le Soigner




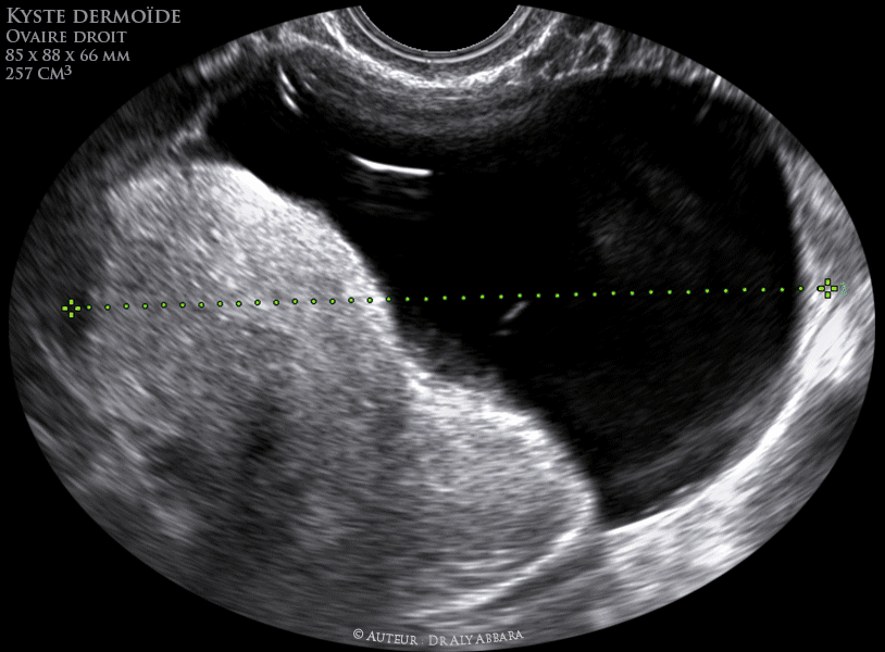
Ovaire Droit Teratome Benin Kyste Dermoide Compose D Un Pole Liquidien Et Un Autre Hyper Echogene Compose De Poils Et Matiere Grasse Echographie Et Images Cliniques
Kyste embryonnaire C'est un kyste dont la paroi a une structure ressemblant à la peau Ce kyste peut contenir des produits de la sécrétion des glandes sudoripares ou pilosébacées, comme des poils, voire même des ébauches de dents Les kystes situées à l'intérieur de la joue sont souvent des kystes dermoïdes, bénins et qu'il est nécessaire de retirer chirurgicalement pour éviter toute complication Si le kyste est localisée sur l'extérieur de la joue, on ne parle alors plus de kyste buccal, mais de kyste sébacé et il s'agit davantage d'un problème dermatologiqueLes kystes d'inclusion épidermiques (kystes épidermoïdes), souvent appelés improprement « kystes sébacés », sont de couleur chair et ont un diamètre variable pouvant atteindre environ 5 centimètres Ils sont souvent placés sous un pore dilaté Ils peuvent se développer n'importe où, mais sont plus fréquents sur le dos, la tête et le cou




Une Femme De 45 Ans Retrouve Son Jumeau Dans Son Ovaire



Cancerisation D Un Kyste Dermoide De L Ovaire A Propos D Un Cas
Kyste neuroentérique Il s'agit d'un défaut de séparation entre l'endoderme de l'intestin et l'ectoderme de la notochorde, le plus souvent thoracique Il peut communiquer avec le can al rachidien et être associé à des anomalies rachidiennes et médullaires (14)Kyste rein bebe echographie Meilleures réponses Kyste bébé échographie Forum Grossesse / Bébé Kyste ovarien en début de grossesse Forum Grossesse / Béb ;Le kyste dermoïde se forme probablement lors des premières semaines de développement du bébé dans l'utérus On en observe les symptômes des années après sa naissance Le kyste dermoïde contient souvent des follicules pileux, des morceaux de cartilage ou des glandes sébacées qui produisent des huiles et des matières grasses




Kyste Dermoide



Cancerisation D Un Kyste Dermoide De L Ovaire A Propos D Un Cas



Tous Les Cas Cliniques Et E Learning En Radiologie Et Imagerie Medicale De Radeos



Kyste Dermoide Ovarien




Ovaire Droit Volumineux Teratome Benin Kyste Dermoide Chez Une Femme Enceinte De 12 Sa Echographie Et Images Cliniques




Kyste Dermoide Ovarien Kystectomie Coelioscopique Youtube




Kyste Ovarien Definition Causes Symptomes Traitement




Kyste Ovarien Et Grossesse Magicmaman Com




Teratome Wikipedia




Le Kyste Dermoide Chez Les Enfants Etre Parents




Un Kyste Ovarien De Quoi S Agit Il




Kyste Dermoide Ovarien Causes Et Traitements Parents Fr



Echographie Abdominale Pelvienne




Kyste Ovarien Wikipedia




Kyste Le Kyste Sebace Teleconsultation Dermatologue




Les Tumeurs De La Voute Cranienne Neurochirurgie Pediatrique Lille




Role De L Echographie Dans Le Diagnostic Des Kystes Ovariens Et Des Masses Annexielles En Dehors De La Grossesse Et De La Stimulation Ovarienne Sciencedirect



Teratomas Ovarian Ultrasonography Dermoid Cyst Echographie Kyste Dermoide Teratome Ovaire



Il S Agit De L Aspect Cabinet De Curiosites Henry Facebook




Kyste De L Ovaire




Ppt Irm Pelvienne Pour Les Nuls Powerpoint Presentation Free Download Id



Phototheque Gynecologie 2d Echographie Toulouse Centre




Vers Une Optimisation De L Usage De L Irm Pelvienne Pour La Caracterisation Des Masses Ovariennes Gyneco Online



Teratomas Ovarian Ultrasonography Dermoid Cyst Echographie Kyste Dermoide Teratome Ovaire




Ovaire Droit Teratome Benin Kyste Dermoide Compose D Un Pole Liquidien Et Un Autre Hyper Echogene Compose De Poils Et Matiere Grasse Echographie Et Images Cliniques




Kyste Sebace Quand Faut Il L Enlever Femme Actuelle Le Mag




Kystes Ovariens Symptomes Causes Et Traitements Nos Pensees




Kyste De L Ovaire Non Fonctionnel Endometriome Kyste Ovarien Hemorragique Kyste Dermoide Kyste Paraovarian Et Kystes Fonctionnels Follicule Et Corpus Luteum Clip Art Libres De Droits Vecteurs Et Illustration Image




Kyste Ovaire Coelioscopie Youtube




Mon Bebe Pissenlit Un Kyste Dermoide




Teratome Kystique Mature De Lovaire Rerkmycumtuaran Over Blog Com



Kyste Dermoide Ovarien




Mon Bebe Pissenlit Un Kyste Dermoide



Complications Des Kystes De L Ovaire En L Absence De Traitement Le Kyste De L Ovaire Peut Se Compliquer Et Risque De Degenerer En Cancer De L Ovaire Uniquement Pour Les Tumeurs Borderline Ou En Torsion De L Ovaire Rupture De Kyste Hemorragie



1




Kystes Et Pseudokystes Cutanes Hoogstra Centros Medicos




Kystes Et Fistules Congenitaux De L Enfant Sciencedirect



Kyste Dermoide




Kyste Ovarien Hemorragie Rupture Et Compression Thoracotomie



Phototheque Gynecologie 2d Echographie Toulouse Centre




Kyste Dermoide De L Ovaire Youtube




Stop Asian Hate Ceci N Est Pas Une Chimere Mais Ca Y Ressemble Il S Agit D Un Kyste Ovarien Dermoide Si Vous Regardez De Plus Pres Vous Pourrez Y Trouver Des Cheveux




Bebe D Amour Mon Bebe D Amour



Q Tbn And9gcqaypukrt0rtv0gb3sy84wclgdxopglt7zfe2qwjocgegl Usqp Cau



Http Www Sfrnet Org Rc Org Sfrnet Htm Article 16 1609 617 Src Htm Fulltext Fr 4 Canale S Pdf




Des Photos D Ultrasons En Gynecologie 2




Ovaire Teratomes Matures Benins Ou Kystes Dermoides




Kyste Dermoide




Ppt Pathologies Des Annexes Non Infectieuses En Dehors De La Grossesse Powerpoint Presentation Id 5965




Kyste Dermoide Definition Types Traitement Ooreka




Kystes Fistules Et Chondromes Congenitaux De La Tete G Captier M Bigorre Unite De Chirurgie Plastique Pediatrique Chu Lapeyronie Montpellier Pdf Telechargement Gratuit




Rapport Sfo 17 Ophtalmologie Pediatrique



Macro Ovaire Kyste Dermoide Musee D Anatomopathologie Kalos




Avant Le Jour J Mon Bebe D Amour




Au Secours J Ai Un Kyste Dermoide Ovarien Cosmopolitan Fr




Chirurgie Kyste Ovarien Dr Luka Velemir Gynecologue Chirurgien




Caracterisation Irm Des Tumeurs Ovariennes Bouaziz K Kraiem




Les Tumeurs De La Voute Cranienne Neurochirurgie Pediatrique Lille



Http Www Sante Ujf Grenoble Fr Sante Corpus Disciplines Gyneco Gyneco Hp4 Leconimprim Pdf



Tout Savoir Sur La Chirurgie Du Kyste Ovarien




Kyste Dermoide Ovarien Et Infertilite Feminine Primaire Analyse De 3 Observations Radiologiques Ovarian Dermoid Cyst And Primary Infertility Analsis Of 3 Radiographic Findings Semantic Scholar



Teratomas Ovarian Ultrasonography Dermoid Cyst Echographie Kyste Dermoide Teratome Ovaire



Http Www Sfrnet Org Rc Org Sfrnet Htm Article 13 1311 5 Src Htm Fulltext Fr N Perrot echographie endovaginale Pdf




Le Teratome Ovarien Ou Kyste Dermoide Ovarien Causes Et Traitement




Kystes Ovariens




Kyste Dermoide Buccal Fahrnipedia




Caracterisation Irm Des Tumeurs Ovariennes Bouaziz K Kraiem




L Exerese Des Dermoides De La Voute Neurochirurgie Pediatrique Lille




Kystectomie Ovarienne




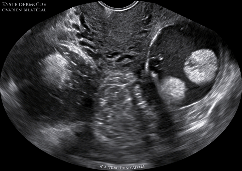
Ovaire Teratome Benin Bilateral Kyste Dermoide Echographie




Mon Bebe Pissenlit Un Kyste Dermoide



Kyste Dermoide Ovarien Dr Abdelali Chirurgien Facebook




Kyste Dermoide Sur L Ovaire Ovaire Infographie Illustration De Vecteur Illustration Du Grossesse Ovarien




Cas Radiologie Kyste Dermoide Echographie Diagnologic




Kyste De L Ovaire Strategie Therapeutique Ppt Video Online Telecharger




Des Photos D Ultrasons En Gynecologie 2




Kystes Et Fistules Congenitaux De L Enfant Sciencedirect



Kyste Ovarien Wikipedia




Kystes De L Ovaire Symptomes Et Taitement Du Kyste Ovarien Doctissimo



Iconographie



Les Kystes Ovariens Quand Operer Doc Sante Gyneco Facebook




Kyste Dermoide De La Partie De L œil Ophtalmologie